
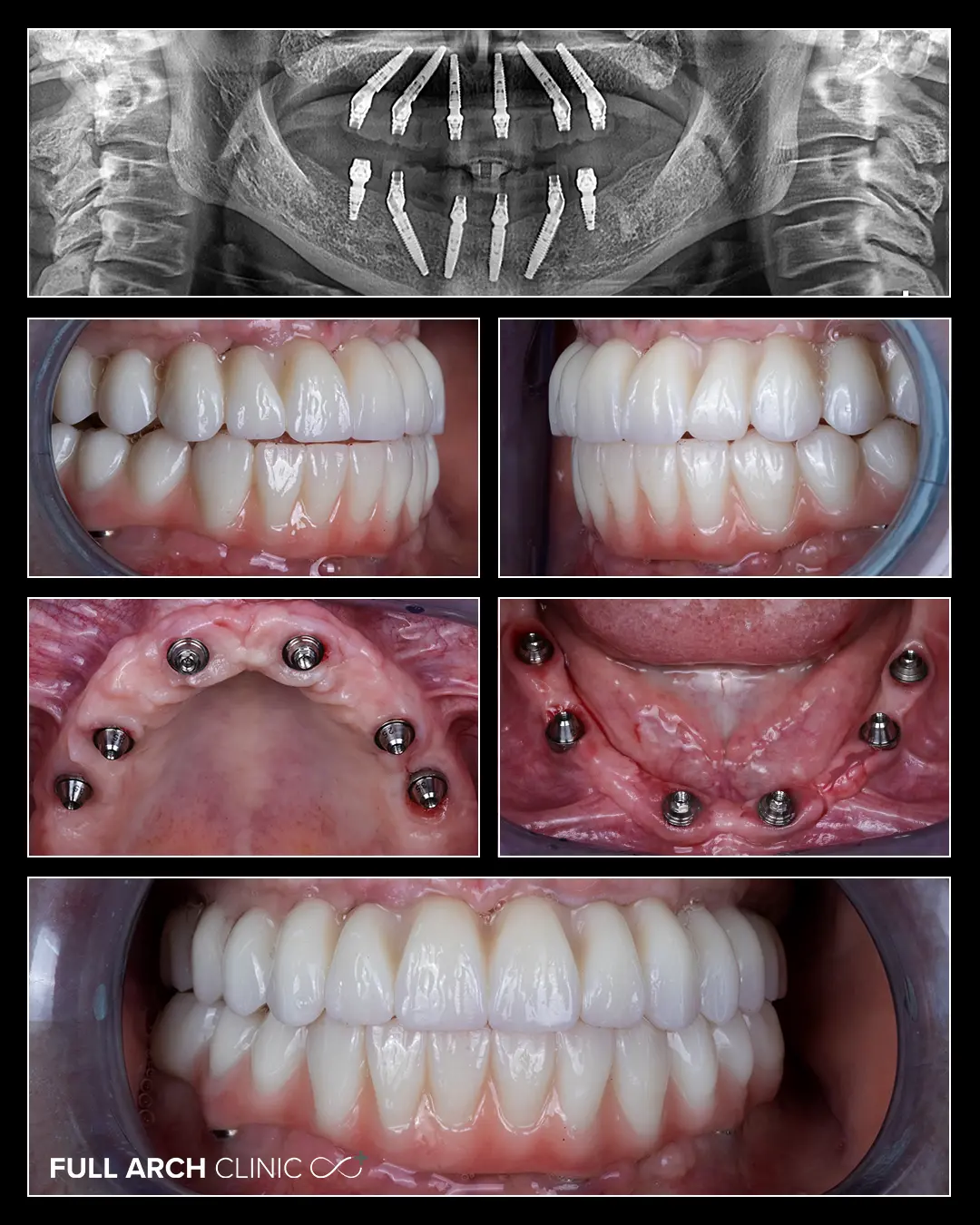
Doamna Oltean s-a prezentat la clinica noastra cu o proteza mobila partiala la maxilar si doua lucrari vechi mobile la mandibula.
Estetica generala si faptul ca nu putea sa manance cu aceste lucrari o afectau in fiecare zi.
In prima zi a tratamentului am realizat extractiile, curatarea infectiilor, si inserarea implanturilor la mandibula.
In a II-a zi a tratamentului am repetat acest proces pentru partea maxilara, iar in a III-a zi doamna Oltean a primit lucrarile provizorii pe care le lauda in video.
La 6 luni de zile am realizat si lucrari din zirconiu integral.
Dr. Andrei Stan - Implantologie
Dr. Daniel Bumbu - Protetica
Td. Darius Chindris - Design & Ceramica