Reabilitare Mixta cu 10 Implanturi Dentare si Coroane de Zirconiu pe Dintii Naturali

Protetica Mixta (Dinti & Implanturi)
thumbnail caz reabilitare mixta 10 implanturi dentare si coroane de zirconiu pe dintii naturali

Diagnostic

Pacienta a ajuns la clinica noastra intr-o situatie dentara extrem de dificila. La maxilar, mai avea doar cinci dinti frontali, dar care erau totusi suficient de sanatosi pentru a ne permite sa ii pastram si sa realizam o lucrare de lunga durata pe ei.

La mandibula, dintii ramasi erau grav afectati de boala parodontala: mobilitate mare, pierdere importanta de os si inflamatie cronica. In aceste conditii, pastrarea dintilor naturali nu mai era o optiune realista.

Plan de tratament

Desi majoritatea pacientilor care ajung la noi vin pentru lucrari complete pe implanturi dentare, alegem intotdeauna sa pastram dintii sanatosi, care inca pot sustine lucrari pe o perioada indelungata.

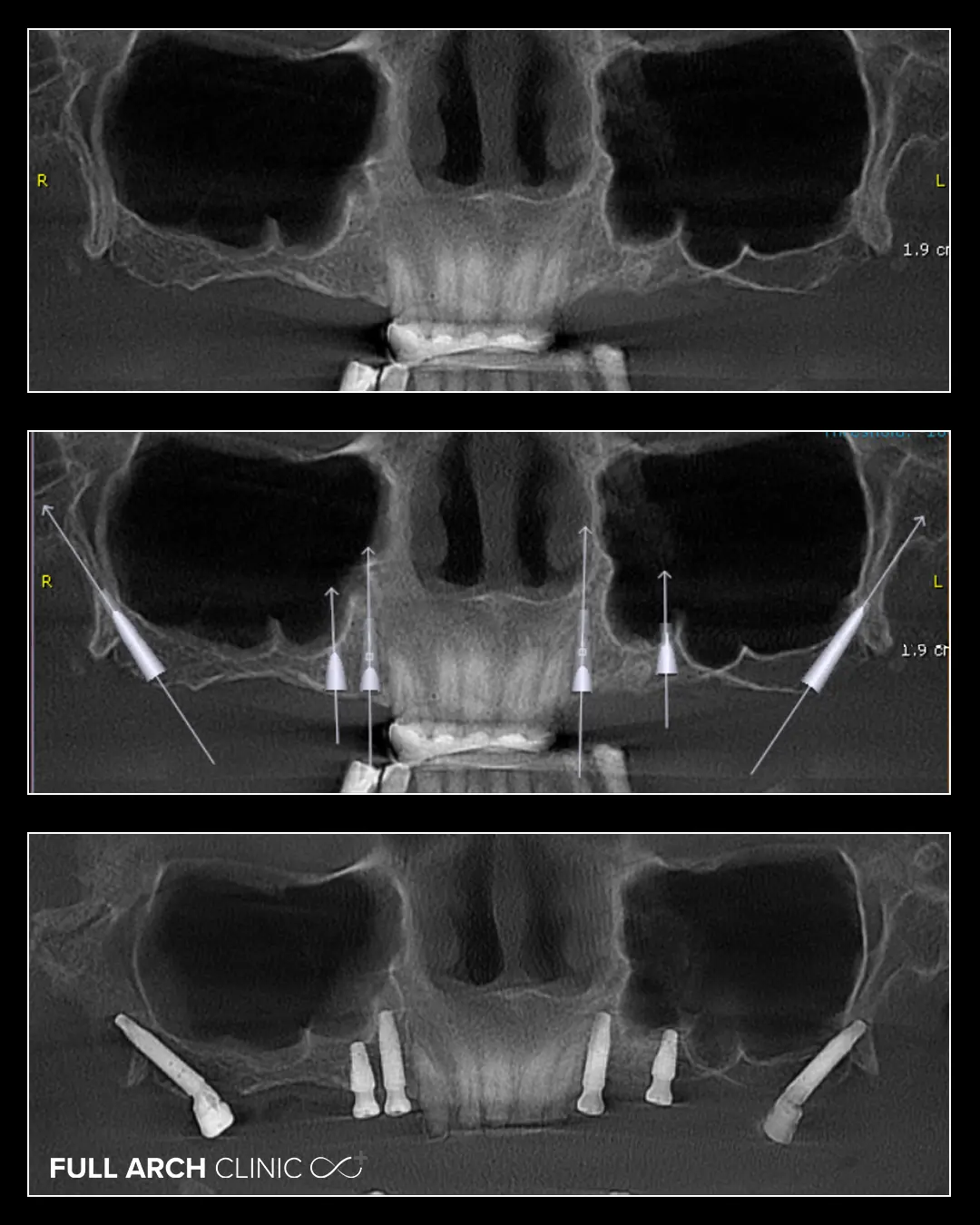
In cazul acestei doamne, la maxilar am realizat doua punti pe implanturi, utilizand atat implanturi conventionale, cat si implanturi pterigoide, iar pe dintii ramasi am aplicat coroane din zirconiu.

Implanturile pterigoide ne-au oferit posibilitatea de a efectua tratamentul intr-o singura interventie chirurgicala, evitand astfel necesitatea mai multor interventii succesive, cum ar fi fost cazul in abordarea clasica prin sinus lifting-uri.

La mandibula, am realizat un tratament clasic cu patru implanturi dentare si o lucrare finala din ceramica stratificata pe zirconiu.

Echipa medicala

Dr. Andrei Stan - Implantologie

Dr. Daniel Bumbu - Protetica

Td. Antal Tivadar - Design

Td. Alexandra Stanica - Ceramica

Galerie Foto

Nu exista imagini pentru acest caz.

ECHIPA MEDICALA