Reabilitare Completa pe 12 Implanturi Dentare

Dantura Fixa pe Implanturi Dentare
reabilitare orala pe 10 implanturi clasice si 2 pterigoide bimaxilar thumbnail

Diagnostic

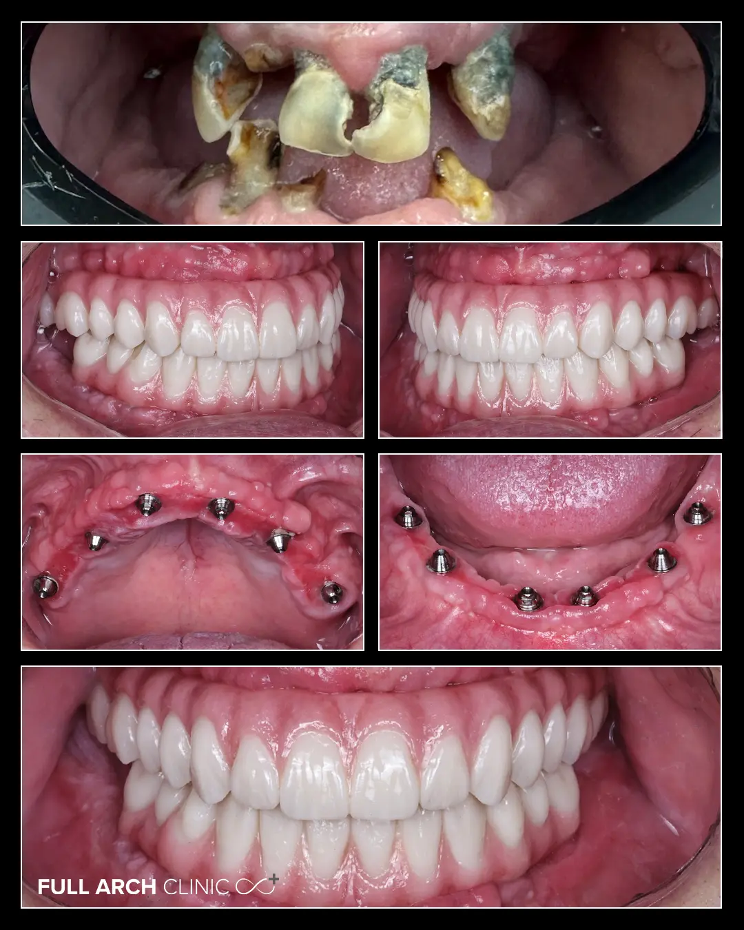
Pacientul s-a prezentat la clinica cu o dantura grav compromisa, marcata de carii si infectii. Dintii ramasi erau in zona frontala maxilara, dar se aflau intr-o stare avansata de degradare si nu mai puteau fi salvati. Situatia clinica genera durere, imposibilitatea masticatiei corecte, afectarea esteticii si a calitatii vietii.

Plan de tratament

Avand in vedere starea severa a dintilor si a suportului osos, cea mai potrivita solutie a fost o reabilitare orala completa prin tratament cu Dantura Fixa pe 12 Implanturi Dentare.

La maxilar 4 implanturi dentare standard si 2 implanturi dentare pterigoide, pentru a evita aditii osoase extinse care necesitau mai multe interventii chirurgicale.

La mandibula am mers pe 6 implanturi standard pentru a asigura suport optim pentru lucrarea protetica.

Interventiile au fost facute in 2 zile consecutive, iar in ziua a III-a, pacientul a primit lucrarile provizorii fixe.

Perioada de vindecare a durat 6 luni in care am realizat 3 controale pentru a monitoriza vindecarea tratamentului.

La final, pentru lucrarea protetica, am mers pe lucrari din ceramica stratificata pe zirconiu pentru a reda cat mai mult posibil estetica unui zambet natural.

Mai departe, tot ce ne ramane e sa monitorizam tratamentul prin igienizari periodice.

Dle. Buse, va dorim multa sanatate si cat mai multe zambete cu noua dantura.

Echipa medicala

Dr. Andrei Stan - Implantologie

Dr. Daniel Bumbu - Protetica

Td. Darius Chindris - Design

Td. Alexandra Stanica - Ceramica

Galerie Foto

Nu exista imagini pentru acest caz.

ECHIPA MEDICALA